Gọi ngay Call Facebook Messenger Messenger Zalo Zalo

Hướng dẫn chăm sóc da sau tiêm meso giúp da phục hồi nhanh và rạng rỡ

5
(1)

Sau khi tiêm meso, việc chăm sóc da đúng cách là yếu tố quan trọng, ảnh hưởng trực tiếp đến hiệu quả điều trị và khả năng phục hồi. Tuân thủ đúng hướng dẫn còn giúp da hạn chế kích ứng và viêm nhiễm. Trong bài viết này, DeAge sẽ hướng dẫn bạn các bước chăm sóc da sau tiêm meso để đảm bảo làn da luôn căng mướt, sáng mịn và khỏe mạnh.

MỤC LỤC NỘI DUNG
    Add a header to begin generating the table of contents

    Vì sao cần chăm sóc đúng cách sau khi tiêm meso?

    Tiêm meso là phương pháp sử dụng kim siêu nhỏ đưa dưỡng chất thẩm thấu sâu vào lớp trung bì, mang lại hiệu quả cao hơn nhiều so với bôi thoa thông thường. Tuy nhiên, phương pháp này có tính xâm lấn nên sau thủ thuật, da thường nhạy cảm hơn, dễ bị ảnh hưởng bởi các yếu tố bên ngoài như bụi, ánh nắng và mỹ phẩm không phù hợp.

    Lúc này, làn da cần được chăm sóc đúng cách. Việc cấp ẩm đầy đủ, che chắn cẩn thận và thực hiện đúng theo chỉ dẫn của Bác sĩ sẽ giúp da nhanh chóng phục hồi, hấp thụ dưỡng chất tối ưu và duy trì sự căng mịn, sáng khỏe lâu dài.

    Nếu không được chăm sóc đúng cách, da có thể gặp phải các vấn đề như kích ứng, tăng sắc tố, sưng đỏ kéo dài hoặc thậm chí nhiễm trùng.

    tiêm meso
    Bác sĩ trực tiếp thực hiện phương pháp tiêm meso tại Phòng khám DeAge by DA

    Hướng dẫn chăm sóc da sau tiêm meso theo từng giai đoạn

    Chăm sóc làn da sau tiêm meso không khó, chỉ cần tuân thủ theo các bước trong từng giai đoạn như sau:

    Trong 4 giờ đầu

    • Giữ da mặt luôn khô ráo, không rửa mặt để tránh kích ứng.
    • Nếu da tiết nhiều dầu, có thể lau nhẹ nhàng bằng nước muối sinh lý.
    • Có thể thoa một lớp mỏng sản phẩm dưỡng phục hồi theo chỉ định của Bác sĩ.

    Trong 24 giờ tiếp theo

    • Rửa mặt nhẹ nhàng bằng nước mát (nước khoáng hoặc nước đun sôi để nguội) 2 – 3 lần/ngày.
    • Tránh tiếp xúc với nước nóng, không xông hơi, tập luyện nặng hoặc bất kỳ hoạt động nào khiến cơ thể ra nhiều mồ hôi.
    • Có thể chườm lạnh hoặc xịt khoáng để làm dịu làn da.
    • Che chắn kỹ bằng nón, khẩu trang và thoa kem chống nắng SPF ≥ 30 khi ra nắng sau mỗi 2 – 3 giờ.

    Trong 3 ngày đầu

    • Hạn chế trang điểm, tránh xông hơi, massage hoặc tắm nước nóng.
    • Không tắm biển, hồ bơi hoặc tiếp xúc với môi trường ô nhiễm và khói bụi.
    • Tránh sờ tay lên mặt để giảm nguy cơ nhiễm trùng.
    • Vị trí tiêm có thể xuất hiện vết bầm nhưng thường tự giảm sau 3 – 7 ngày không cần can thiệp.
    • Nên sử dụng các sản phẩm dưỡng da dịu nhẹ.

    Sau 3 ngày

    • Da gần như đã hồi phục hoàn toàn, có thể sử dụng mỹ phẩm cơ bản và bắt đầu sử dụng các hoạt chất như retinoid, BHA, AHA nếu được Bác sĩ cho phép.
    • Tiếp tục dưỡng ẩm và chống nắng đầy đủ khi ra ngoài để tăng hiệu quả điều trị.
    • Nếu da vẫn còn sưng đỏ, rỉ dịch, hạt meso không tan hoặc có nốt sần bất thường sau 3 ngày, cần báo ngay cho Bác sĩ để được kiểm tra và xử trí kịp thời.
    che chắn cẩn thận
    Che chắn kỹ, chống nắng khi ra ngoài trong 24 giờ sau tiêm meso

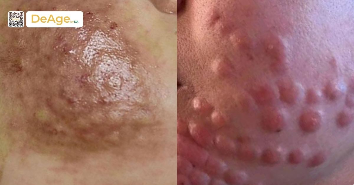
    Các tác dụng phụ có thể gặp sau tiêm meso

    Tiêm meso là phương pháp thẩm mỹ nội khoa được đánh giá an toàn nhưng trong một số trường hợp, khách hàng có thể gặp phải các tác dụng không mong muốn gồm:

    • Bầm: là phản ứng phổ biến và thường tự giảm sau 3 – 7 ngày. Đây là kết quả của việc kim tiêm vô tình chạm vào mạch máu nhỏ dưới da nhưng không gây hại cho sức khỏe.
    • Phản ứng dị ứng: gồm các biểu hiện như ngứa, nổi hồng ban, mụn nước và sưng phù, có khả năng làm tăng sắc tố sau viêm khi da lành.
    • Nhiễm trùng: xuất hiện khi quy trình tiêm không đảm bảo vô khuẩn hoặc chăm sóc da sau tiêm không đúng cách. Dấu hiệu nhiễm trùng gồm nóng, đỏ, đau nhức kéo dài, sưng viêm và có thể rỉ dịch.
    • U hạt: là biến chứng nguy hiểm nhưng rất hiếm, có thể liên quan đến cơ địa, phản ứng miễn dịch của cơ thể. Ngoài ra, việc sử dụng sản phẩm tiêm kém chất lượng, không rõ nguồn gốc cũng làm tăng nguy cơ hình thành u hạt, biểu hiện bằng các nốt sẩn hoặc mảng hồng ban cứng trên da.

    Để ngăn ngừa tác dụng phụ và biến chứng sau khi tiêm meso, nên lựa chọn địa điểm tiêm uy tín và tuân thủ đúng quy trình chăm sóc da theo hướng dẫn của Bác sĩ.

    biến chứng
    Biến chứng khi tiêm meso (hình minh họa)

    Thời gian duy trì hiệu quả của tiêm meso

    Tiêm meso không mang lại kết quả vĩnh viễn. Hiệu quả của phương pháp làm đẹp này sẽ phụ thuộc vào nhiều yếu tố như tình trạng da, loại hoạt chất được sử dụng và cơ địa của mỗi người.

    Thông thường, sau tiêm 1 tuần, làn da phục hồi hoàn toàn và trở nên sáng hơn, bề mặt da căng bóng, đàn hồi tốt. Tuân thủ liệu trình tiêm từ 3 – 5 buổi, mỗi buổi cách nhau 2 – 4 tuần theo chỉ định của Bác sĩ, làn da có thể duy trì được hiệu quả từ 6 – 12 tháng. Sau khi hoàn thành liệu trình, Bác sĩ thường khuyến nghị tiêm nhắc lại 2 – 3 lần/năm tùy sản phẩm để duy trì hiệu quả lâu dài.

    ca lâm sàng tiêm meso
    Ca lâm sàng trị nám thành công tại DeAge by DA

    DeAge – địa chỉ tiêm meso uy tín, hạn chế rủi ro

    Tiêm meso đòi hỏi sự chính xác về kỹ thuật, chỉ định đúng và quy trình vô khuẩn nghiêm ngặt. Việc lựa chọn cơ sở thực hiện đóng vai trò quan trọng quyết định hiệu quả điều trị và mức độ an toàn cho làn da.

    Tại TP. HCM, DeAge by DA là một trong những địa chỉ được nhiều khách hàng tin tưởng khi thực hiện tiêm meso nhờ đáp ứng đầy đủ các tiêu chí y khoa cần thiết.

    • Bác sĩ có chuyên môn cao: các Bác sĩ tại DeAge giàu kinh nghiệm, được đào tạo bài bản, giúp đưa ra phác đồ điều trị phù hợp cho từng loại da.
    • Cơ sở vật chất hiện đại: Phòng khám được trang bị đầy đủ hệ thống thiết bị y tế hiện đại, không gian sang trọng, sạch sẽ, riêng tư 1:1.
    • Sản phẩm chính hãng: sử dụng các sản phẩm tiêm có bằng chứng lâm sàng rõ ràng và được cấp phép lưu hành vật tư tiêu hao theo quy định của Bộ Y tế, được nhập khẩu chính ngạch, còn nguyên tem nhãn và niêm phong trước khi sử dụng.
    • Minh bạch chi phí: thông tin về giá dịch vụ được tư vấn cụ thể trước khi thực hiện, hạn chế tối đa các khoản phát sinh ngoài liệu trình.

    Với quy trình chuẩn y khoa, đội ngũ chuyên môn và sản phẩm đạt tiêu chuẩn, DeAge by DA là lựa chọn phù hợp cho những ai mong muốn trẻ hóa da an toàn và duy trì làn da khỏe mạnh lâu dài.

    khám da
    Thăm khám Bác sĩ Da liễu để được tư vấn trước khi thực hiện phương pháp tiêm meso

    Chăm sóc da sau tiêm meso chính là “chìa khóa” giúp làn da duy trì sự căng mịn và khỏe mạnh. Việc vệ sinh da đúng cách, dưỡng ẩm, chống nắng đầy đủ, hạn chế một số hoạt động dễ gây kích ứng và theo dõi phản ứng da sẽ góp phần kéo dài hiệu quả điều trị và hạn chế biến chứng. Hãy đến với DeAge by DA để trải nghiệm liệu trình tiêm meso an toàn và hiệu quả, mang đến làn da rạng rỡ như mong muốn.

    Câu hỏi thường gặp

    Sau tiêm meso đắp mặt nạ được không?

    Sau tiêm meso có thể đắp mặt nạ nhưng nên lựa chọn loại mặt nạ cấp ẩm, phục hồi da với thành phần dịu nhẹ.

    Tiêm meso có được sử dụng chất kích thích?

    Sau tiêm meso nên hạn chế sử dụng thuốc lá, bia rượu và các chất gây kích ứng da trong khoảng 3 – 5 ngày. Bởi những chất này có thể làm tăng nguy cơ viêm nhiễm và chậm quá trình lành thương.

    Tiêm meso có phải nghỉ dưỡng không?

    Tiêm meso là phương pháp xâm lấn tối thiểu nên hầu hết không cần nghỉ dưỡng. Khách hàng có thể trở lại sinh hoạt bình thường ngay sau khi tiêm nhưng cần tuân thủ các hướng dẫn chăm sóc da để tối ưu hiệu quả và hạn chế tác dụng phụ.

    Khi nào cần gặp Bác sĩ?

    Cần liên hệ Bác sĩ ngay nếu tình trạng sưng đỏ, bầm tím kéo dài hơn 7 ngày, có dấu hiệu nhiễm trùng hoặc nốt sần, hạt meso không tan.

    Tài liệu tham khảo

    1. MDedge. “Rapid Development of Perifolliculitis Following Mesotherapy“. [Accessed 30 October 2025]
    2. Galmés-Truyols A, Giménez-Duran J, Bosch-Isabel C, et al. “An outbreak of cutaneous infection due to Mycobacterium abscessus associated to mesotherapy“. Enferm Infecc Microbiol Clin. 2011;29(7):510-514. doi:10.1016/j.eimc.2011.03.006
    3. Sañudo A, Vallejo F, Sierra M, et al. “Nontuberculous mycobacteria infection after mesotherapy: preliminary report of 15 cases“. Int J Dermatol. 2007;46(6):649-653. doi:10.1111/j.1365-4632.2007.02976.x
    4. Jang JW, Kang SY. “Evaluation and management of facial granuloma caused by various injection materials“. Arch Craniofac Surg. 2021;22(1):26-32. doi:10.7181/acfs.2020.00689

    Bài viết này có hữu ích không?

    5 / 5. Số lượt vote: 1

    Lên đầu trang